Lavaggi nasali e irrigazioni nel bambino. Razionale, evidenze scientifiche, guida pratica.
PhD Giuseppe Frandina, Pediatra
Abstract
I lavaggi nasali con soluzioni saline rappresentano un presidio terapeutico e preventivo nelle patologie delle alte vie respiratorie pediatriche. Evidenze scientifiche dimostrano benefici nel miglioramento della clearance mucociliare, nella riduzione dei sintomi respiratori e nella prevenzione delle complicanze. La scelta della soluzione e del dispositivo deve essere personalizzata in base all’età del bambino e alla patologia. [1-3]
Introduzione
Le patologie delle alte vie respiratorie rappresentano una delle principali cause di consultazione pediatrica. Rinofaringiti, riniti allergiche, sinusiti e otiti medie acute sono condizioni estremamente frequenti soprattutto nei primi anni di vita, periodo in cui l’immaturità immunologica e le caratteristiche anatomiche pediatriche favoriscono il ristagno e la persistenza di secrezioni e la diffusione dell’infezione.
Negli ultimi anni, i lavaggi e le irrigazioni nasali hanno assunto un ruolo crescente nella prevenzione e nel trattamento di tali patologie, grazie alla loro capacità di migliorare la clearance mucociliare e ridurre il carico infettivo e infiammatorio. L’impiego di soluzioni saline, in differenti concentrazioni e con specifiche caratteristiche chimico-fisiche, rappresenta oggi un presidio terapeutico raccomandato dalle principali linee guida otorinolaringoiatriche e pediatriche. [1]
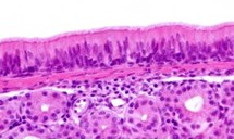
Fisiologia della clearance mucociliare
La mucosa respiratoria è costituita da cellule ciliate, cellule mucipare e cellule basali. Il muco intrappola particelle e patogeni mentre il movimento delle ciglia trasporta le secrezioni verso il rinofaringe. Alterazioni della viscosità del muco o del battito ciliare determinano ristagno secretivo e aumentano il rischio infettivo. [2]
Tipologie di soluzioni saline
- Soluzioni isotoniche (0,9% NaCl) – Indicate per igiene quotidiana e nei lattanti.
- Soluzioni ipertoniche (1,5–3% NaCl) – Utili nella congestione nasale e nelle riniti allergiche.
- Soluzioni tamponate – Mantengono il pH fisiologico della mucosa nasale migliorando l’attività antimicrobica e la clearance mucociliare. [4]
Dispositivi per Irrigazioni nasali
I dispositivi possono essere classificati in sistemi ad alto volume (siringhe, flaconi squeeze) e spray nasali. I sistemi ad alto volume sono più efficaci nella rimozione meccanica delle secrezioni mentre gli spray garantiscono maggiore compliance. [3]
Rilevanza clinica nei bambini
Nel bambino piccolo la ridotta capacità di soffiarsi il naso, associata alla maggiore orizzontalizzazione della tromba di Eustachio, favorisce l’accumulo di secrezioni e la diffusione dei patogeni verso l’orecchio medio, aumentando l’incidenza di otite media acuta. Inoltre, l’ostruzione nasale rappresenta uno dei principali fattori responsabili di:
- difficoltà alimentare nei lattanti
- disturbi del sonno
- respirazione orale cronica
- peggioramento della qualità di vita del bambino e della famiglia
La gestione dell’ostruzione nasale costituisce pertanto un obiettivo terapeutico prioritario.
Razionale scientifico dei Lavaggi nasali
Le irrigazioni nasali esercitano la loro efficacia attraverso diversi meccanismi:
1. Azione meccanica – I lavaggi permettono la rimozione diretta di:
- secrezioni mucose
- virus e batteri
- mediatori infiammatori
- allergeni inalati
Tale effetto riduce la carica patogena e limita la progressione delle infezioni respiratorie.
2. Miglioramento della clearance mucociliare
Ripristinando le caratteristiche reologiche del muco, i lavaggi favoriscono il normale battito ciliare e riducono il ristagno secretivo.
3. Riduzione dell’infiammazione mucosale
È dimostrato che le irrigazioni saline riducono edema e congestione nasale, con conseguente miglioramento della respirazione.
4. Riduzione dell’utilizzo farmacologico
Numerosi studi evidenziano una riduzione dell’impiego di antibiotici e corticosteroidi nei pazienti pediatrici che utilizzano regolarmente lavaggi nasali.
Tecniche di esecuzione
- Nel lattante:
Posizione supina con testa lateralizzata.
Instillazione lenta della soluzione.
Aspirazione delicata.
- Nel bambino:
Posizione seduta con capo inclinato in avanti.
Utilizzo di sistemi a flusso controllato.
Tipologie di soluzioni
Soluzioni isotoniche (0,9% NaCl) – Riproducono l’osmolarità fisiologica delle secrezioni nasali. Sono indicate:
- nell’igiene quotidiana
- nella prevenzione delle infezioni
- nei lattanti e nei bambini piccoli
Garantiscono buona tollerabilità e compliance.
Soluzioni ipertoniche (<3% NaCl) – Presentano maggiore capacità osmotica e determinano:
- riduzione dell’edema mucosale
- fluidificazione del muco
- miglioramento del drenaggio secretivo
Sono particolarmente indicate nelle fasi acute infiammatorie e nelle riniti allergiche.
Soluzioni tamponate e ruolo del pH
Il pH fisiologico della mucosa nasale è compreso tra 5,5 e 6,5 e rappresenta un elemento determinante per il mantenimento della funzionalità mucociliare. Soluzioni tamponate con fosfati consentono di mantenere stabile il pH, con effetti biologici rilevanti:
- ottimizzazione dell’attività del lisozima, enzima battericida
- miglioramento delle proprietà del muco
- possibile attività antivirale, in particolare nei confronti dei rhinovirus
Studi sperimentali hanno dimostrato che soluzioni saline tamponate acide possono inibire la replicazione virale e migliorare la funzionalità della mucosa respiratoria.
Indicazione cliniche pediatriche
I lavaggi nasali sono indicati in:
Patologie infettive
- Rinofaringiti acute
- Raffreddore comune
- Sinusiti
- Prevenzione delle otiti medie
L’irrigazione facilita l’eliminazione delle secrezioni e ostacola la colonizzazione batterica.
Patologie allergiche
- Rinite allergica stagionale o perenne
- Esposizione ad allergeni ambientali
La rimozione degli allergeni dalla mucosa riduce la risposta infiammatoria e la sintomatologia.
Prevenzione
L’igiene nasale quotidiana può ridurre l’incidenza delle infezioni respiratorie ricorrenti, soprattutto nei bambini frequentanti comunità scolastiche.
Modalità tecniche – Come eseguire correttamente il lavaggio nasale
Nel lattante
- posizione supina con testa ruotata lateralmente
- instillazione lenta della soluzione
- eventuale aspirazione delicata
Nel bambino più grande
- posizione seduta con capo leggermente inclinato in avanti
- introduzione della soluzione in una narice con fuoriuscita dalla controlaterale
- successivo soffiamento nasale
Frequenza di utilizzo
| Condizione | Frequenza consigliata |
| Igiene preventiva | 1-2 volte al giorno |
| Raffreddore | 2-4 volte al giorno |
| Rinite allergica | 1-3 volte al giorno |
| Sinusite | secondo indicazione medica |
Sicurezza e tollerabilità
I lavaggi nasali rappresentano una procedura sicura, con effetti collaterali minimi. Eventuali fastidi transitori sono generalmente legati alla pressione di erogazione o alla concentrazione salina utilizzata. Gli effetti collaterali sono rari e generalmente limitati a:
- lieve fastidio
- sensazione di bruciore transitoria
- disagio legato alla tecnica
L’utilizzo di soluzioni tamponate può migliorare la tollerabilità.
- non creano dipendenza
- possono essere utilizzati anche per lunghi periodi
- riducono il rischio di complicanze respiratorie
- aiutano il bambino a respirare e dormire meglio
- sono sicuri se eseguiti correttamente
Perché funzionano (razionale fisiopatologico)
- La mucosa nasale intrappola patogeni/allergeni nel muco; le ciglia lo spostano verso la gola (clearance mucociliare). Se il muco è troppo denso o le ciglia non funzionano, si crea ristagno e rischio di infezione.
- L’irrigazione: rimuove meccanicamente secrezioni, virus, batteri e allergeni; (migliora le proprietà del muco; riduce edema e congestione. Studi clinici dimostrano riduzione dei sintomi nasali e della durata delle infezioni nelle popolazioni pediatriche valutate.
Evidenze scientifiche
- Revisione/Linee guida 2022-2025: delivery ad alto volume/low pressure è più efficace per rimozione di secrezioni e post-nasal drip. Raccomandazione clinica favorevole per irrigazioni saline nelle rinosinusiti pediatriche e come adiuvante nelle riniti.
- Trial su bambini con rinite allergica: ipertonica (es. 2.7-3%) ha mostrato riduzioni più ampie dei sintomi rispetto a soluzione isotonica in alcuni RCT pediatrici. Tuttavia, la tolleranza può variare; soluzioni tamponate pH 5.9-6.5 migliorano comfort e funzioni enzimatiche locali (lisozima) e possono avere effetto antivirale in vitro.
- Prove su URTI/raffreddore: revisione 2024 indica che le irrigazioni possono ridurre la gravità dei sintomi pediatrici (evidenza di grado moderato, necessità di ulteriori RCT di qualità).
Conclusioni
I lavaggi nasali costituiscono un presidio terapeutico fondamentale nella pratica pediatrica. L’evidenza scientifica supporta il loro ruolo nel miglioramento della clearance mucociliare, nella riduzione dell’infiammazione e nella prevenzione delle complicanze infettive.
La scelta della soluzione, del dispositivo e della modalità di utilizzo deve essere personalizzata in base all’età del bambino, al quadro clinico e agli obiettivi terapeutici. L’integrazione dei lavaggi nasali nella gestione delle patologie respiratorie pediatriche rappresenta un approccio efficace, sicuro e facilmente applicabile nella pratica clinica quotidiana.
VALUTAZIONE TECNICA INDIPENDENTE DEL DISPOSITIVO EUKIN
Il dispositivo EUKIN® propone una soluzione ipertonica tamponata con fosfati a pH fisiologico e un sistema di erogazione progettato per migliorare l’efficacia del lavaggio e la tollerabilità della procedura. [4]
Caratteristiche della soluzione
Il prodotto utilizza una soluzione salina ipertonica tamponata con sistema fosfato e pH fisiologico, caratteristiche che risultano coerenti con i principi fisiopatologici della clearance mucociliare. Il mantenimento del pH mucosale contribuisce alla stabilità dell’ambiente biologico nasale e può favorire l’attività antimicrobica locale.
Caratteristiche del dispositivo di erogazione
Il sistema di erogazione è progettato per garantire:
- flusso controllato della soluzione
- distribuzione uniforme nelle cavità nasali
- riduzione del rischio di sovrapressione
- maggiore comfort durante l’utilizzo pediatrico
L’ergonomia del terminale è studiata per migliorare l’aderenza alla narice e facilitare l’utilizzo da parte dei caregiver.
Potenziali vantaggi clinici
Dal punto di vista teorico-funzionale, l’utilizzo del dispositivo può favorire:
- rimozione efficace delle secrezioni
- miglior tollerabilità nei bambini
- maggiore compliance terapeutica
- migliore standardizzazione della tecnica di lavaggio
È tuttavia opportuno sottolineare che l’efficacia clinica dipende dall’utilizzo corretto del dispositivo e dalla personalizzazione dell’indicazione terapeutica.
Bibliografia
- Harvey R, Hannan SA, Badia L, Scadding G. Nasal saline irrigations for the symptoms of chronic rhinosinusitis. Cochrane Database Syst Rev. 2007.
- Principi N, Esposito S. Nasal irrigation: An update on clinical applications. Int J Pediatr Otorhinolaryngol. 2017.
- Piromchai P, et al. Optimal device and regimen of nasal saline treatment. J Med Assoc Thai. 2020.
- Washington N, Steele RJ, Jackson SJ, et al. Determination of baseline human nasal pH. Int J Pharm. 2000.
- Centers for Disease Control and Prevention. Safe sinus rinsing practices. 2024.
